MIchrome 20
MIchrome 20 2000萬彩色USB 3.0顯微相機,具有高靈敏度高分辨率等性能特點,1英寸靶面尺寸可以覆蓋顯微視野中的最佳成像區域,一次拍攝即可輕松捕獲高清細節圖像,同時適用于明場和熒光環境拍攝。
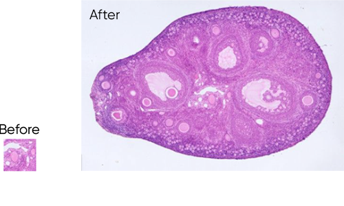
MIchrome 20 搭載鑫圖Mosaic 計算成像計算軟件,為您提供實時圖像拼接高級成像功能,在您移動載物臺的數秒時間內就可以同時生成拼接大圖,輕快、順暢、省心!
MIchrome 20 搭載鑫圖Mosaic 計算成像計算軟件,為您提供實時景深融合功能,在您轉動對焦環拍攝不同景深點的同時即可生成清晰的大景深圖像,快速、準確、高效!
MIchrome 20 具有高靈敏度高分辨率等性能特點,1英寸靶面尺寸可以覆蓋顯微視野中的最佳成像區域,一次拍攝即可輕松捕獲高清細節圖像。
請登錄下載此文件。
登錄
2000萬彩色制冷CMOS顯微相機

4K HDMI+USB 3.0 顯微相機